カテゴリー:
審美歯科
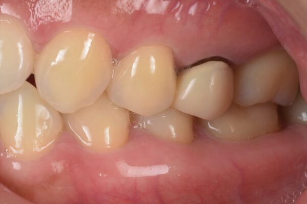
e-maxCr(左上5番)

Before

After
症例情報
| 通院時の年齢 | 50歳 |
|---|---|
| 性別 | 女性 |
| 通院回数 | 来院回数3回|メンテナンス頻度:3ヶ月に1回 |
| 通院目的 | 歯ぐきと被せ物の境目が黒く目立つようになったので改善したい。 |
| 処置内容 | 経年により歯肉が下がり、被せ物との境目にブラックマージンが見られたため被せ物を除去し、土台を整えて精密な型取りを行い、e-maxにて最終補綴物を製作・装着しました。 |
| 患者さんの感想 | 歯ぐきの黒い部分が目立たなくなったので、笑う時に気にならなくなった。 |
| 費用 | 99,000円 |
| デメリット | 審美的で滑沢性が高い一方で、金属やジルコニアと比べると強度が低い材料のため破折リスクがあります。 特に咬合力が強い方や歯ぎしりのある方には慎重な設計が必要です。 根っこの治療や土台のやりかえがあると来院回数が増えることもあります。 |
