患者様のための
歯科医院であるために
私たちしげなが歯科医院は患者様を自分の家族や友人と思い、それぞれの方々へ寄り添った治療を提案したいと考えています。1977年に薩摩川内市で開業して以来、変わらない理事長の想い・理念のもとに、全スタッフが患者さんを温かくお迎えいたします。
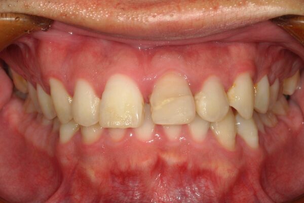
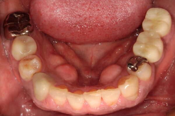
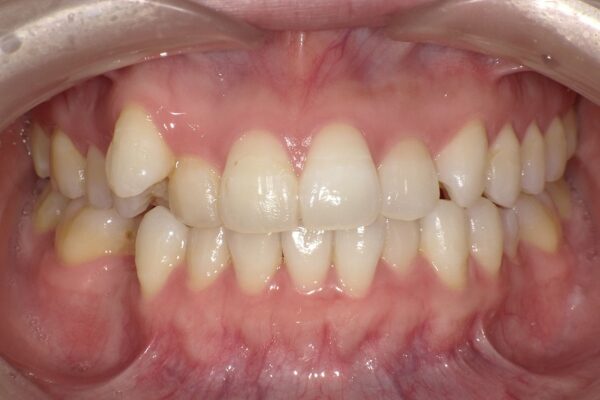
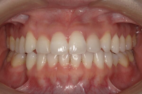
歯並びやお口のお悩み、
何でもご相談ください
9:00〜13:00 / 14:00〜18:00
(最終受付17:30)
【休診日】水曜・日曜・祝日
医院紹介Our clinic
設備にこだわり、
新しい治療体験を提供します

当院では歯科医院の概念を覆すような、特別感を感じていただける空間をご用意しました。 上質な治療をリラックスした気分で受けることができます。
よりよい治療の提供のために
か強診・外来環認定歯科医院

患者様のための歯科医院であるため、よりよい治療の提供を常に目指しています。厚生労働省からの”か強診・外来環認定”を受け、充実した歯科治療を行います。
Images
Recruit求人情報
あなたのヒューマンスキルを存分に活かせる環境がここにあります。
ライフステージにフィットしたワークスタイルを実現し、働きやすい環境やスキルアップを目指せるための取り組みをしています。
当院の新型コロナウイルス・院内感染への対策についてCOVID-19 PREVENTION
当院では全てのスタッフが感染対策へ徹底しているのはもちろん、
患者様にもご協力をお願いしています。皆様ご不安やご心配な中ではあるかと存じますが、
当院治療へのご来院は、不安なくお越し頂ければ幸いです。
Groupグループ・提携医院
-

哲学堂デンタルクリニック
〒161-0031
住所:東京都新宿区西落合3-30-1 1F
TEL: 03-5988-9980 -

吉祥寺まさむね デンタルクリニック
〒180-0003
住所:東京都武蔵野市吉祥寺南町2-38-7
TEL:0422-24-8862 -

成田駅前デンタルオフィス
〒286-0033
住所:千葉県成田市花崎町828−11
スカイタウン成田3F
TEL:0476-33-6487 -

今西歯科クリニック
〒889-4505
住所:宮崎県都城市高崎町大牟田754−2
TEL:0986-62-0108


























