カテゴリー:
審美歯科根管治療
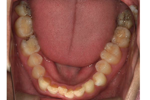
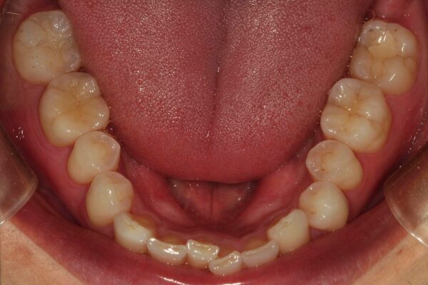
オールセラミッククラウン(右下6番)/ 抗菌性根充法(大臼歯) ファイバーコア

Before

After
症例情報
| 通院時の年齢 | 29歳 |
|---|---|
| 性別 | 男性 |
| 通院回数 | (根管治療)来院回数4回 (補綴治療)来院回数3回 メンテナンス頻度:3ヶ月に1回 |
| 通院目的 | 歯が欠けてしまい、そこに食べ物が詰まって食事が苦痛だった。 |
| 処置内容 | 欠けた部分から虫歯が進行していたため、根の治療を行い、土台を作り直し仮歯を装着。 その後、精密な型取りを行い、自然な色調再現性と適合性に優れたオールセラミッククラウンで最終補綴物を製作・装着しました。 |
| 患者さんの感想 | 食事のストレスがなくなり、たくさん食べることができるようになった。 |
| 費用 | オールセラミッククラウン:148,500円 抗菌性根充法(根管治療:66,000円 ファイバーコア(土台):22,000円 合計:236,500円 |
| デメリット | 強い咬合力や歯ぎしり、強い衝撃などがある場合、セラミックが破折することがあります。 根っこの治療や土台のやりかえがあると来院回数が増えることもあります。 |
