カテゴリー:
マウスピース矯正(インビザライン)成人矯正
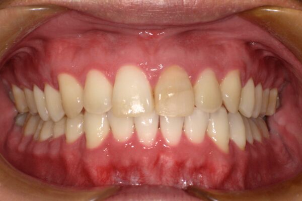
上の前歯が出ていて隙間もある|マウスピース矯正(インビザライン)

Before

After
症例情報
| 通院時の年齢 | 22歳 |
|---|---|
| 性別 | 男性 |
| 通院回数 | 約1年7ヶ月|メンテナンス頻度:3ヶ月に1回 |
| 通院目的 | 上の前歯が出ていて隙間もあって歯並びにコンプレックスがあった。 |
| 処置内容 | 前歯部にフレアおよび空隙歯列を認めた症例。 非抜歯で、歯の間のエナメル質をわずかに(0.2〜0.5mm程度)削り、歯を動かすスペースを確保し、歯並び・噛み合わせを整えて矯正を行なっています。 |
| 患者さんの感想 | 人と笑顔で話せるようになって自信がもてた。 |
| 費用 | 968,000円(別途調整料3,300円) 矯正無料相談 -33,000円値引き |
| デメリット | 装着時間が不足すると十分な治療効果が得られない場合があります。 マウスピースと歯の清掃が不十分な場合、虫歯や歯肉炎のリスクが高まることがあります。 歯の移動に伴い、まれに歯根吸収など生じることや咬み合わせが一時的に不安定になることがあります。 |
