カテゴリー:
ガムピーリング
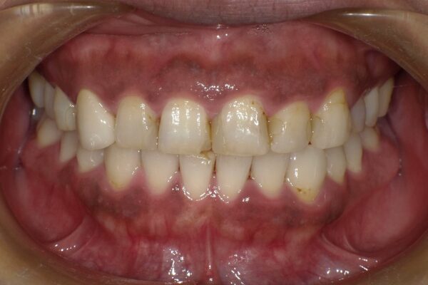
ガムピーリング

Before

After
症例情報
| 通院時の年齢 | 42歳 |
|---|---|
| 性別 | 女性 |
| 通院回数 | 来院回数2回(処置と術後チェックの2回)|メンテナンス頻度:3ヶ月に1回 |
| 通院目的 | 小さい頃からピンクではなかったが、タバコを吸うこともありメラニン色素が強く出ているところが気になる。 以前やった時に綺麗になったのでまたやってもらおうと思った。 |
| 処置内容 | メラニン沈着部に専用の薬液を塗布し、数分間作用させ、中和剤の塗布・水洗、この工程を3回繰り返し行います。 術後3日〜1週間で上皮が再生し、ピンク色の健康的な歯肉へと変化します。 |
| 患者さんの感想 | 歯茎の色もうすくなり、気にせず笑えるようになったのでよかった。 |
| 費用 | 11,000円(両側) |
| デメリット | 処置中〜処置後に軽いヒリつきや痛み、一時的に赤みや軽い腫れなどが出ることがあります。 体質や生活習慣(特に喫煙)により、色の戻りが起こることがあります。 フェノール・アルコール類にアレルギーをお持ちの方は、当院の治療法では処置は受けられません。 |
