カテゴリー:
インプラント
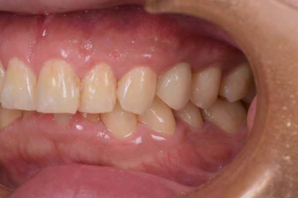
インプラント1本(左上4番)

Before

After
症例情報
| 通院時の年齢 | 35歳 |
|---|---|
| 性別 | 男性 |
| 通院回数 | 約3ヶ月|メンテナンス頻度:3ヶ月に1回 |
| 通院目的 | 虫歯になり他院で削るだけ削られてそのまま。他の歯医者に行っても歯石除去とかだけで終わってしまったので治療してほしい。 |
| 処置内容 | 骨縁下う蝕で保存不可だったため、骨造成術を併用した抜歯即時インプラント埋入手術を行い、2ヶ月半後に、型取りを行い最終的な補綴物を製作・装着しました。 |
| 患者さんの感想 | 初めてのインプラントだったが、思っていたより見た目の違和感はなかった。他の自分の歯と同じようにちゃんと噛めるのでよかった。 |
| 費用 | 473,000円(骨造成 55,000円含む) |
| デメリット | 外科的な治療のため、術後に一時的な腫れや痛みが出ることがありますが、多くは数日〜1週間程度で落ち着きます。 また、インプラントは定期的なメンテナンスを怠るとインプラント周囲炎になる可能性があります。 |
