カテゴリー:
インプラント
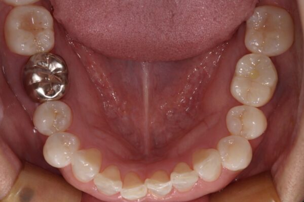
インプラント1本(左下6番)

Before

After
症例情報
| 通院時の年齢 | 34歳 |
|---|---|
| 性別 | 女性 |
| 通院回数 | 約4ヶ月|メンテナンス頻度:約4ヶ月 |
| 通院目的 | 被せ物をしていた歯が割れてダメになってしまった。 |
| 処置内容 | 歯根破折により保存不可だったため、骨造成術を併用した抜歯即時インプラント埋入手術を行い、3ヶ月半後に、型取りを行い最終的な補綴物を製作・装着しました。 |
| 患者さんの感想 | 手術をするのが時間もかかり大変だったが、今は何も心配なく、よく噛んで食べれるようになったのでインプラントをして良かったと思います。 |
| 費用 | 473,000円(骨造成 55,000円含む) |
| デメリット | 外科的な治療のため、術後に一時的な腫れや痛みが出ることがありますが、多くは数日〜1週間程度で落ち着きます。 また、インプラントは定期的なメンテナンスを怠るとインプラント周囲炎になる可能性があります。 |
